
عصرایران نوشت: اسکوروی نوعی بیماری است که در اثر کمبود ویتامین C ایجاد میشود. عدم مصرف میوه و سبزیجات کافی علت اصلی این بیماری است. اسکوروی نادر است زیرا اکثر افراد ویتامین C کافی در رژیم غذایی خود دریافت میکنند. درمان این بیماری نیز معمولا آسان است.
اسکوروی یا اسکوربوت نوعی بیماری است که در صورت عدم درمان، میتواند باعث خونریزی لثه، لق شدن دندانها و خونریزی زیر پوست شود. درمان این بیماری شامل دریافت مقدار زیادی ویتامین C در رژیم غذایی است.
اسکوروی چیست؟
اسکوروی (اسکوربوت) یک بیماری است که به دلیل کمبود قابل توجه ویتامین C در رژیم غذایی ایجاد میشود. البته این کمبود شایع نیست، زیرا اکثر مردم به اندازه کافی ویتامین C از رژیم غذایی خود دریافت میکنند. این وضعیت در کشورهایی در سراسر جهان که مردم در آن دچار سوءتغذیه هستند، یک مشکل به شمار میرود.
علائم اسکوروی
علائم اسکوروی ممکن است پس از چند ماه عدم دریافت ویتامین C کافی از رژیم غذایی مشاهده شود. اولین علائم ممکن است شامل ضعف عمومی، خستگی، تحریک پذیری و درد مفاصل باشد. در صورت عدم درمان علائم شدیدتری میتواند شروع شود که شامل موارد زیر است:
- کم خونی
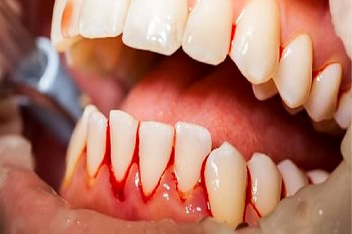
- لثههای متورم و دارای خونریزی که ممکن است بنفش و اسفنجی شوند.
- دندانهای لق که ممکن است بیفتند.
- خونریزی زیر پوست (هموراژ پوستی). ممکن است دچار بثورات اسکوروی شوید که به صورت لکههای قرمز یا آبی روی پوست ظاهر میشوند.
- به راحتی کبود شدن پوست
- پوست خشن و پوسته پوسته
- پاهای متورم
- باز شدن زخمهای بهبود یافته قبلی و ایجاد زخمهای جدید که خوب نمیشوند.
- موهای خشک و شکننده
در نوزادان و کودکان علائم اسکوروی شامل موارد زیر است:
- تحریک پذیری
- درد هنگام حرکت
- از دست دادن اشتها
- عدم موفقیت در افزایش وزن
- کم خونی
علل اسکوروی
کمبود شدید ویتامین C در رژیم غذایی برای حداقل سه ماه میتواند منجر به ابتلا به اسکوروی شود. از دلایل کمبود این ویتامین میتوان به عدم مصرف کافی میوه و سبزیجات اشاره نمود. همچنین پخت و پز، مقداری از ویتامین C موجود در غذا را از بین میبرد.
نیاز بدن به ویتامین C در برخی شرایط افزایش پیدا میکند. در شرایط زیر نیاز بیشتری به ویتامین C دارید و اگر به اندازه کافی این ویتامین را دریافت نکنید، ممکن است دچار کمبود آن شوید.
- بارداری
- شیردهی
- اختلالاتی که باعث تب بالا میشوند.
- پرکاری غده تیروئید (هیپرتیروئیدیسم)
- اسهال مزمن
- جراحی
- سوختگی
- سیگار کشیدن
درمان اسکوروی
درمان اسکوروی برای جلوگیری از عوارض بیشتر ضروری است. این بیماری به راحتی با مصرف بیشتر ویتامین C قابل درمان است. شما بایستی سعی کنید یک رژیم غذایی متنوع و مغذی داشته باشید که شامل یک تا دو برابر مقدار توصیه شده روزانه ویتامین C باشد. میتوانید این کار را با افزودن میوه و سبزیجات تازه به هر وعده غذایی انجام دهید.
پزشک شما ممکن است مصرف قرص جوشان ویتامین C را تا زمان برطرف شدن علائم به شما توصیه کند. کودکان مبتلا به اسکوروی میتوانند روزانه تا ۳۰۰ میلی گرم و بزرگسالان ۵۰۰ تا ۱۰۰۰ میلی گرم مکمل مصرف کنند.
پیشگیری از اسکوروی
شما میتوانید با دریافت مقدار توصیه شده روزانه ویتامین C در رژیم غذایی خود از اسکوروی جلوگیری کنید. بهترین منابع این ماده مغذی، میوهها و سبزیجات تازه هستند. منابع خوب ویتامین C عبارتاند از:
- میوههای خانواده مرکبات
- گوجه
- سیب زمینی
- بروکلی
- توت فرنگی
- فلفل شیرین
نیاز روزانه به ویتامین C
مقدار ویتامین C مورد نیاز روزانه شما به سن و عوامل دیگر بستگی دارد.
سن/مرحله زندگی | مقدار توصیه شده روزانه |
تولد تا ۶ ماهگی | ۴۰ میلی گرم |
نوزادان ۷ تا ۱۲ ماه | ۵۰ میلی گرم |
کودکان ۱ تا ۳ سال | ۱۵ میلی گرم |
کودکان ۴ تا ۸ سال | ۲۵ میلی گرم |
کودکان ۹ تا ۱۳ سال | ۴۵ میلی گرم |
نوجوانان پسر (۱۴ تا ۱۸ سال) | ۷۵ میلی گرم |
نوجوانان دختر (۱۴ تا ۱۸ سال) | ۶۵ میلی گرم |
مردان بزرگسال | ۹۰ میلی گرم |
زنان بزرگسال | ۷۵ میلی گرم |
نوجوانان باردار | ۸۰ میلی گرم |
بزرگسالان باردار | ۸۵ میلی گرم |
نوجوانان شیرده | ۱۱۵ میلی گرم |
بزرگسالان شیرده | ۱۲۰ میلی گرم |
اگر سیگار میکشید، باید ۳۵ میلی گرم به مقادیر بالا اضافه کنید تا کل مقدار توصیه شده روزانه خود را دریافت کنید.
سخن پایانی
اسکوروی بیماری ناشی از کمبود شدید ویتامین C است. اگرچه رژیم غذایی با ویتامین C کم میتواند باعث کمبود شود، این وضعیت معمولا به سطح اسکوروی نمیرسد. برای جلوگیری از این بیماری، حتما از مقدار کافی میوه و سبزیجات تازه استفاده کنید. اگر هر یک از علائم اسکوروی را تجربه کردید، حتما با پزشک خود در این رابطه مشورت نمایید.