هیدروژلی که سلول‌های مغزی را نوسازی می‌کند

برخلاف بافت سایر قسمت‌های بدن، بافت عصبی در مغز پس از آسیب‌دیدگی بازسازی نمی‌شود.

شناسه خبر: ۳۴۸۸۶۲
هیدروژلی که سلول‌های مغزی را نوسازی می‌کند

باشگاه خبرنگاران جوان نوشت؛ ژل پلیمری زیست سازگار که توسط تیمی از دانشمندان دانشگاه هوکایدو ژاپن ساخته شده است، از بخش‌های مساوی مونومر‌هایی با بار مثبت و منفی تشکیل شده و ترکیب چسبنده‌ای را برای سلول‌ها ارائه می‌دهد.

دانشمندان نسبت مولکول‌های متقاطع را در هیدروژل تنظیم کردند تا قوامی مانند بافت مغزی به آن بدهند. دانشمندان همچنین، منافذ ریز را در هیدروژل به عنوان مکان‌های سلولی ایجاد کردند.

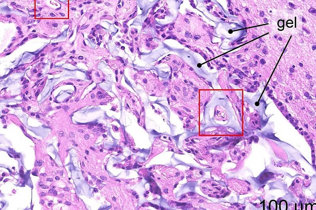
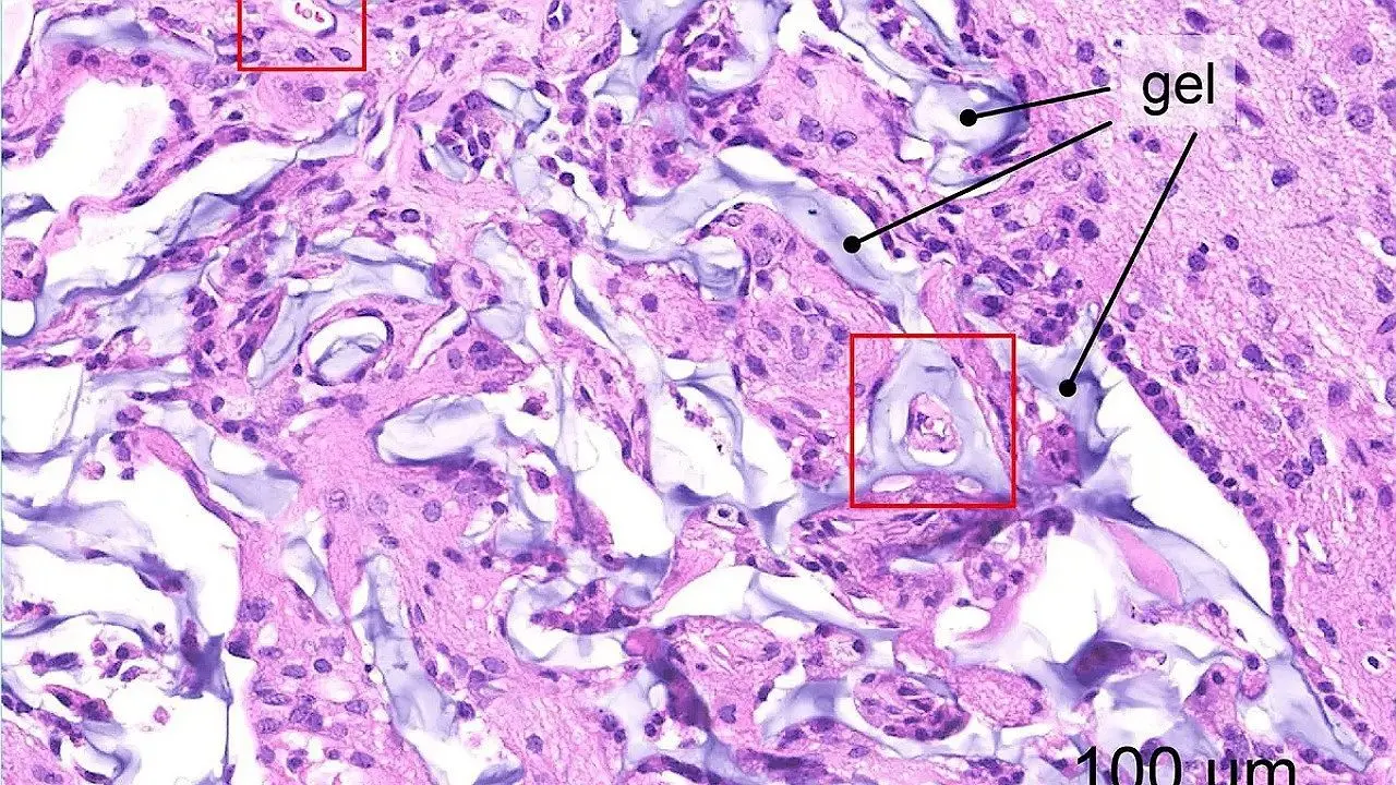
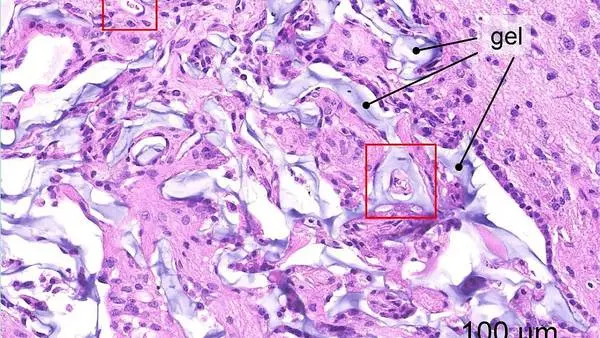
سپس ژل را در یک سرم فاکتور رشد مرطوب کردند تا رشد رگ‌های خونی را تقویت کند و پس از آن با جراحی در نواحی آسیب دیده مغز موش کاشته شد. سه هفته بعد، مشخص شد که سلول‌های ایمنی و عصبی از بافت مغز اطراف به داخل هیدروژل کاشته شده مهاجرت کرده‌اند، به علاوه رگ‌های خونی در آن شروع به رشد کرده‌اند. در مرحله بعد محققان سلول‌های بنیادی عصبی را به ژل تزریق کردند.

پس از یک دوره ۴۰ روزه، اکثریت قریب به اتفاق آن سلول‌ها زنده مانده بودند و برخی از آن‌ها به سلول‌های عصبی و سلول‌های آستروسیت نگهدارنده نورون تمایز یافته بودند. علاوه بر این، برخی از سلول‌های عصبی جدید از هیدروژل به بافت‌های مغزی اطراف مهاجرت کرده‌اند. این اتفاق نشان می‌دهند که چقدر مواد در مغز ادغام شده‌اند.

زمان‌بندی مراحل مختلف بسیار مهم است. هنگامی که دانشمندان سعی کردند همزمان ژل را کاشت و سلول‌های بنیادی را اضافه کنند، این روش ناموفق بود. مقاله‌ای در مورد این تحقیق که توسط پروفسور‌های ساتوشی تانیکاوا و شینیا تاناکا رهبری شده‌است، در ژورنال Scientific Reports منتشر شده است.

دانشمندان دانشگاه جورجیا قبلاً یک هیدروژل «چسب مغزی» ساخته بودند که با موفقیت از آن برای درمان آسیب‌های مغزی در موش‌ها استفاده کردند.

نظرات
پربازدیدترین خبرها